刚刚不惑之年,陈先生却已经被帕金森病折磨数年,嗅觉丧失、肢体僵硬,还要面对不受控的颤抖。“怕自己有一天完全控制不了自己的身体”曾经是他最大的梦魇。好在上海交通大学医学院附属仁济医院为他植入了最新型国产3.0T磁共振兼容脑起搏器,他感觉“夺回了身体控制权”。而仁济医院神经外科主任医师周洪语却看到了更美好的未来——脑起搏器国产化普及以后,将会开启神经调控治疗的新纪元。
脑起搏器是怎么工作的?
周洪语解释帕金森病的原理:帕金森病的病因简单而言是脑内产生的多巴胺不足,而多巴胺与乙酰胆碱是一对“互相平衡的神经递质”,多巴胺不足就意味着乙酰胆碱相对过量。从而产生肌张力增高,姿势、步态异常,运动迟缓,静止性震颤。脑起搏器则通过在脑内植入人工电极,释放高频电刺激,抑制相对过量的神经元的电冲动,降低其兴奋和活动的状态,从而减轻临床症状。
脑起搏器经过了多次更新迭代。传统脑起搏器使用期限为20年,并容易受到磁场的干扰而发生风险,故而被禁止在开机状态下接受高场强3.0T磁共振扫描。过去,植入脑起搏器的患者仅可接受局限的1.5T磁共振扫描,同时必须关掉脑起搏器。
陈先生还年轻,未来也许还要接受磁共振检查,尤其是3.0T磁共振检查的机会较多。周洪语功能团队进行了充分评估后,决定为陈先生选择植入国产新型脑起搏器(3.0T磁共振兼容脑起搏器)——不仅预期使用期限长达30年,而且国产设备有一个独特优势,即变频技术,可以使帕金森患者的中线症状得到很大改善。高场强磁共振兼容,解决了以往植入脑起搏器患者无法进行3.0T磁共振检查的临床难题。

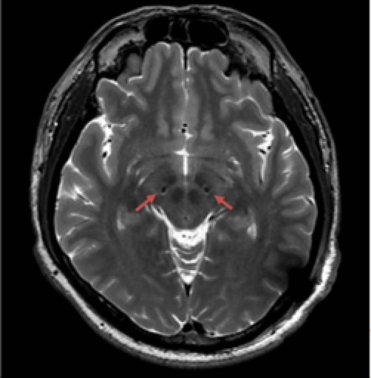
(患者在术后复查3.0T磁共振,提示电极位置精准)
更加智能,神经调控新纪元悄然来临
随着可充电、可远程程控的3.0T磁共振兼容脑起搏器的应用,神经调控的新纪元已悄然来临。
除此以外,国产化设备可以更“智能”,术后调机可以通过互联网连接,在家就可以完成。而且,神经调控技术还在升级,从开环向闭环进展,智能可感知设备在对患者大脑实施电刺激治疗的同时,可以实时感知脑内与疾病症状相关的特定脑电信号、心电信号、感知患者体位信息等等,并加以智能算法分析,为患者提供个体化精准治疗。
周洪语介绍,神经调控治疗的适应症实现了多领域覆盖,除帕金森病以外,脑起搏器设备还可用于肌张力障碍、特发性震颤、耐药性癫痫、顽固性疼痛、难治性抑郁者等疾病治疗。
来源:浦东发布