近日,新疆医科大学第四附属医院(自治区中医医院)干部二科内分泌门诊确诊一例因胆管乳头状癌、浸润性腺癌术后、免疫检查点抑制剂治疗后,导致垂体免疫相关不良反应(垂体irAEs)病例。
激活免疫系统的抗肿瘤免疫治疗于2013年被《Science》期刊评为年度突破之首。免疫检查点抑制剂(immunecheckpointinhibitors,ICIs)是免疫调节治疗恶性肿瘤的代表性药物;ICis通过调控免疫应答杀伤肿瘤的同时,过度活化的免疫细胞也可能导致集体产生自身免疫损失,即免疫相关不良反应(immune-relatedadverseevents,irAEs)。

随着免疫治疗应用渐广,免疫治疗不良反应也受到了普遍的关注,几乎全身任何器官系统都可能受到其影响,而内分泌不良反应是最为常见的不良反应之一。因此,临床医师有必要了解相关病理生理机制,掌握临床特征,提高诊治能力。
本例患者男,70岁,汉族,因乏力、畏寒、纳差伴恶心呕吐5月余,于我院干二科内分泌门诊就诊。祁燕主任医师详细询问病史得知,该患者为胆管乳头状癌、浸润性腺癌术后11月,术后予抗肿瘤靶向药哌柏西利片4个月,信迪利单抗注射液静点6个月,停药2周后出现恶心、乏力等上述症状,后日渐加重,就诊时已停药6个月,目前恶心、呕吐伴乏力、纳差、畏寒,偶有头晕、头痛。
体格检查
查体:BP116/80mmHg,甲状腺不大,皮肤干燥,乳晕颜色不淡,腋毛、阴毛脱落。
辅助检查
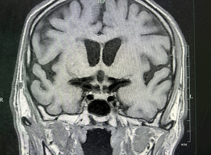
血浆皮质醇:0.99ug/dl,促肾上腺皮质激素:<1.00pg/ml,甲功:游离三碘甲状原氨酸:1.49pmol/L,游离甲状腺素:1.53pmol/L,促甲状腺激素:>100.00uIU/ml,抗甲状腺过氧化物酶抗体:28.97IU/ml,抗甲状腺球蛋白抗体:16.28IU/mL,促甲状腺素受体抗体:<0.80Iu/L;性腺六项:促黄体激素:3.43mIU/ml,促卵泡激素:8.12mIU/mL,睾酮:3.62ng/ml,生长激素:2.82ng/ml;胰岛素样生长因子1.15ng/ml;空腹血糖:3.98mmol/L;空腹胰岛素测定:2.720pmol/L,空腹C肽测定:0.180nmol/L;电解质:钠127.00mmol/L。垂体MRI显示垂体柄增粗。

结合患者临床症状、体征及实验室、影像学检查,祁燕主任医师考虑为垂体免疫相关不良反应(垂体炎垂体前叶功能减退症),遂予口服氢化可的松:8am:20mg,4pm:10mg。
该患者口服1周氢化可的松后复诊,乏力、畏寒及恶心呕吐等症状明显缓解,复查血钠正常,遂加用优甲乐,剂量逐渐递增至100ug,一月后复查。
知识链接
1、垂体免疫相关不良反应(垂体irAEs)的定义:垂体irAEs包括垂体炎和垂体功能减退。垂体炎的定义为以垂体炎症和细胞浸润为特征的疾病。免疫检查点抑制剂治疗后疑诊垂体炎的患者难以获得垂体组织进行病理诊断,只能依据内分泌检测、垂体磁共振成像检查和症状进行临床诊断,而目前诊断标准尚不统一。
2、安德森癌症中心的垂体炎诊断标准为:
(1)促肾上腺皮质激素(ACTH)或促甲状腺激素(TSH)缺乏,伴垂体MRI异常;
(2)ACTH和TSH缺乏伴头痛或疲劳等症状,不伴垂体MRI异常。当垂体功能减退仅表现为ACTH缺乏且无垂体肿大时,称为孤立性ACTH缺乏,是一类特殊的免疫不良反应相关垂体炎。
因此,有学者将垂体炎定义扩大为一种或多种垂体前叶激素缺乏,也可出现泌乳素增多和垂体后叶血管加压素缺乏等罕见情况,不强调是否出现颅脑神经系统症状和垂体影像学改变。

3、垂体irAEs的临床表现:垂体内分泌功能异常的症状缺乏特异性,与肿瘤治疗的常见不良反应有重叠,还可能被肿瘤本身的症状所掩盖。各种垂体激素分泌异常可引发相应的临床表现。
4、ACTH分泌不足导致继发性肾上腺皮质功能减退:可出现疲劳、乏力、厌食、恶心、体重减轻、腹痛、大便不成型、体位性低血压、皮肤苍白色素减退等,严重时可发生肾上腺危象,表现为低血压、休克、呕吐、腹泻、发热、意识障碍等,需要急诊处理。
5、TSH分泌不足导致继发性甲状腺功能减退:可出现健忘、反应迟钝、体重增加、疲劳、畏寒、乏力、脱发、浮肿、便秘、心动过缓、腱反射迟缓。
6、促性腺激素(FSH)和黄体生成素(LH)不足导致继发性性腺功能减退:可引起性欲减退、性功能障碍和不孕不育;可出现第二性征退化,男性面部及躯干毛发稀少、脂肪增多、肌肉体积减少、乳腺增生和睾丸变小变软等,女性月经稀发、闭经、阴毛脱落、乳房萎缩等。
7、生长激素(GH)缺乏:可引起疲劳、脂肪增多、肌肉减少、面部细纹增多、活动耐量下降以及社交能力下降。
8、垂体后叶AVP缺乏导致中枢性尿崩症:罕见,可出现显著的烦渴多饮、多尿,不能及时饮水可引发高钠血症,表现为虚弱、易激惹、抽搐、嗜睡、意识模糊,甚至导致死亡。

9、垂体irAEs的治疗:激素替代治疗是治疗垂体irAEs的基石。国内外相关指南中都强调了内分泌专科医师会诊的重要性,可以避免激素的过度补充或补充不足。病情平稳时,给予生理剂量激素替代即可,其中肾上腺糖皮质激素的补充比甲状腺及其他激素的补充更为优先和迫切。出现肾上腺危象和严重低钠血症时,需要急诊就诊,补充应激状态下所需的大剂量糖皮质激素。一旦确认皮质醇缺乏,紧急静脉输注氢化可的松50~100mg,之后的24h内每6h输注50mg;同时注意纠正水电解质紊乱。
在纠正低钠血症过程中密切监测血钠恢复速度,避免纠正过快导致渗透性神经系统脱髓鞘。如果没有上述危及生命的情况以及重度低钠血症,经过最初的氢化可的松100mg治疗和至少4h的观察,病情持续平稳者也可较快进入口服HRT阶段,但糖皮质激素的起始剂量建议为生理剂量的2倍,1周后酌情减量至生理剂量。同时,在补充甲状腺激素前,应确保已排除肾上腺皮质功能减退或已补充适量的糖皮质激素。性激素的补充要根据患者的性别和年龄,在没有相关禁忌证时才考虑进行。在肿瘤患者中,不建议补充GH。
四、总结和展望:由于复杂的人体免疫系统和ICIs药物作用机制尚未被充分阐明,我们暂时难以对irAE进行预测和针对性治疗。临床上尤其需要警惕无特异性症状的垂体irAEs,要定期监测相关激素水平;在停用ICIs治疗后和急诊接诊患者时也要鉴别是否存在垂体irAEs。
免疫检查点抑制剂相关垂体炎的管理及随访流程

专家简介
姓名:祁燕
科室:干部二科
职务:副主任
职称:主任医师、副教授,硕士生导师
社会任职:全国罗素银综合征专病联盟委员,全国中西医结合骨质疏松学会委员,第一届海峡两岸医药卫生交流协会糖尿病专委会委员,中华志愿者协会中西医结合专家志愿者委员会常务委员, 全国中西医结合学会儿科专业委员会儿童生长发育协作平台委员。曾于北京协和医院内分泌科进修一年
专业擅长:中西医结合治疗糖尿病及其并发症(糖尿病肾病、糖尿病周围神经病变),尤其擅长甲状腺疾病(妊娠甲状腺疾病、甲状腺相关性眼病)、骨质疏松症以及垂体(矮小)、肾上腺、性腺(性早熟、青春不发育)等内分泌疑难杂症的诊治。
门诊时间:周一、周二、周三、周四全天,周五、周六上午
END
来源:干部二科 陈文
编辑:马莹
审核:孙强
来都来了,点个在看再走吧~~~